Lentes de Contato Dentais

O que são Lentes de Contato Dentais? E como elas mudam de uma vez por todas o sorriso das pessoas?

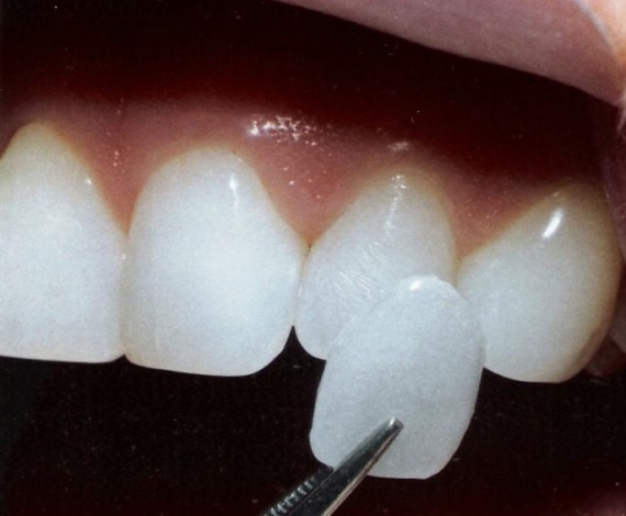
Lente de Contato Dental é uma lâmina ultra-fina de porcelana ou cerâmica desenvolvida para ser aplicada sobre os dentes, com uma espessura de aproximadamente 0,3mm.

Por ser muito fina, a prótese dental recebeu esse nome em comparação às lentes de contato oculares.

A Lente de Contato Dental é muito utilizada para trazer melhorias na estética dos dentes, correções da forma, pequenas alterações de cor, além de reforçar pontos vulneráveis. Tudo isso, sem causar grande desgaste na arcada dentária.

Hoje, a Lente de Porcelana é considerada uma das principais técnicas de estética dental, pois atinge ótimos resultados com aparência natural e de forma pouco invasiva, necessitando de pouco desgaste nos dentes.

Geral

“Clínica Geral, os procedimentos necessários para restabelecer a saúde bucal…”

Clínica Geral, com uma visão meticulosa, o profissional Clínico Geral, examina o paciente como um todo, realiza os procedimentos necessários para restabelecer a saúde bucal e caso necessário, encaminha e coordena os tratamentos dentro das especialidades programadas.

O dentista que acompanha o paciente, conhecendo suas necessidades e anseios, cria uma programação preventiva para evitar problemas futuros.

O tratamento preventivo é o principal foco de nossas atividades.

Apor o tratamento curativo, mantêm-se uma programação com o objetivo de evitar novos problemas, como cáries, gengivite, abscessos, etc.

 

A Clínica Geral e Prevenção Odontológica traz diversos benefícios para quem a realiza, como:

Diminui o número de tratamento curativos;

Mantém a estruturas dos dentes naturais, saudáveis e firmes; além de

Reduzir radicalmente custos em casos de tratamentos odontológicos estéticos.

Com um programa preventivo bem realizado podemos reduzir os problemas odontológicos em mais de 90%.

Além da prevenção, o bom cuidado com os dentes é essencial para a manutenção de procedimentos como a lente de contato dental, próteses e implantes.